コンテンツへスキップ
ナビゲーションに移動
院長挨拶
Greetings
医師紹介
Staff
歯周病専門医について
About “Periodontist”
診療案内
Medical Guide
歯周病
審美歯科
インプラント
義歯(入れ歯の治療)
総合治療
ホワイトニング
自由診療価格
再生医療について
Regenerative medicine
医院案内
Clinic Guide
症例集
Case
感染対策
Infection Control
アクセス
Access
セミナー
Seminar
OMURA’s METHOD(歯科医師向けセミナー)
求人案内
Recruit
TEL:083-234-1159
〒750-0025 山口県下関市竹崎町4-1-29
メディア
HOME
メディア
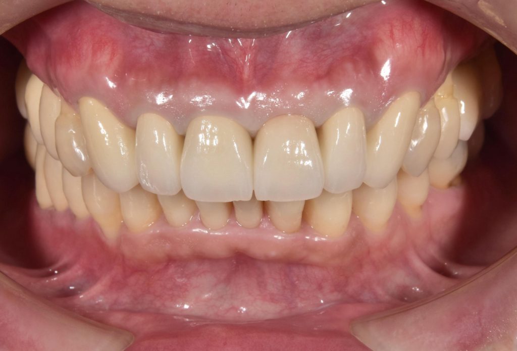
2021.4.842-仮着前-kirinuki-1-l20kirinuki2-1024×695
/ 最終更新日時 :
omurashika
2021.4.842-仮着前-kirinuki-1-l20kirinuki2-1024×695
MENU
院長挨拶
医師紹介
歯周病専門医について
診療案内
歯周病
審美歯科
インプラント
義歯(入れ歯の治療)
総合治療
ホワイトニング
自由診療価格
再生医療について
医院案内
症例集
感染対策
アクセス
セミナー
OMURA’s METHOD(歯科医師向けセミナー)
求人案内
TEL:083-234-1159
ご予約、お問い合わせはこちらから